Home
Procedures
Gum Disease
Gum Treatment
Gum Lift-Crown Lengthening
Dental Implants
Single tooth implants
Implant supported overdenture
Full mouth implants
Gum Regeneration
Regenerative Treatments
Fresh Breath Therapy
Tooth Whitening Treatment
Full Mouth Rehabilitation
Crown and Bridge
Veneers
Direct
Indirect
Interdisciplinary Treatments
Book Appointment
Treated Cases
Bridgs And Crowns
Direct Veneers
Flap Surgery
Gingivectomy
Gum Regeneration
Scaling
Fibroma
Frenectomy
Gum Lift Surgery Crown Lengthening
Implant
Interdisciplinary
Operculectomy
Periodontal abscess
About Us
Our Technology
Educational Video
Testimonials
Gallery
Contact Us
Treated Cases (Bridgs And Crowns)
Home
/
Treated Cases
/
Treated Cases (Bridgs And Crowns)
Treated Cases (Bridgs And Crowns)
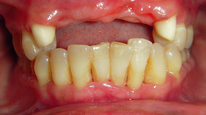
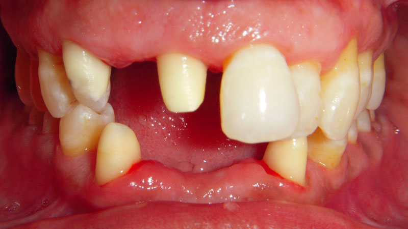
Before
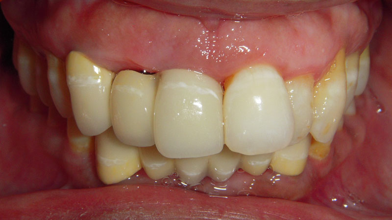
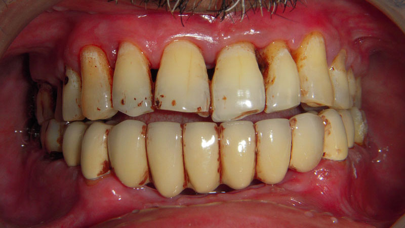
After
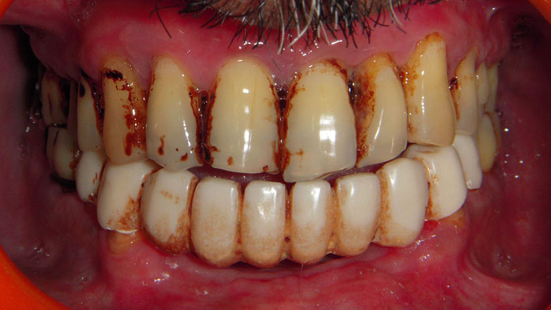
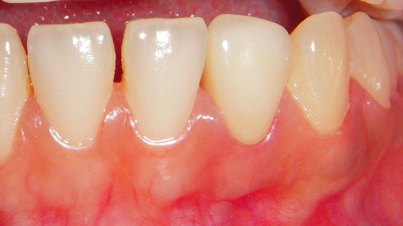
Before
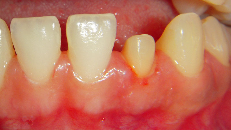
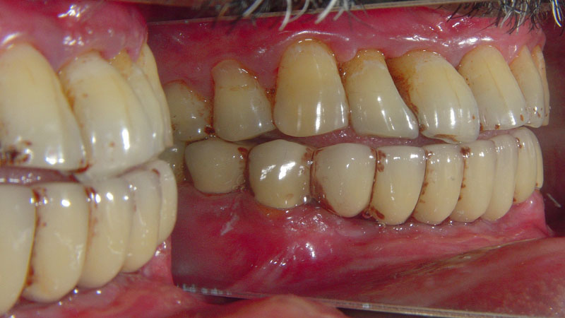
After
Before
After
Before
After
Before
After
Treated Cases
Bridgs And Crowns
Direct Veneers
Flap Surgery
Gingivectomy
Gum Regeneration
Scaling
Fibroma
Frenectomy
Gum Lift Surgery Crown Lengthening
Implant
Interdisciplinary
Operculectomy
Periodontal abscess
Restore Dental Treatement Centre for Perio / Implant / Rehabilitation
© Copyright 2013-14 & All Rights Reserved Restore Dental Treatement Centre. Designed & Developedment by
Mehta Websolution
go Top