Full Mouth Rehabilitation

Home / Procedures / Full Mouth Rehabilitation

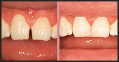
Full Mouth Rehabilitation

Oral rehabilitation uses current technology to reshape and rebuild teeth, gums and surrounding areas. It is sometimes called oral reconstruction or rejuvenation.

Mouth rehabilitation can help patients whose teeth are damaged or have deteriorated through age or decay. It can repair worn, dull teeth and those that are chipped and broken to restore a healthy and beautiful smile.

Often all the rehabilitation procedure involves is the application of dental restorations, including veneers, crowns or onlays As well as enhancing the smile, the restorations are exceptionally strong and durable.

Misaligned bite positions can also be corrected. Often these problems can be the cause of frequent headaches, aching and clicking jaws and shoulder and neck pain known as TMJ Syndrome (Temporomandibular Joint Syndrome). For some unknown reason, there is a higher occurrence of TMJ in women than men. Oral rehabilitation can help restore a more comfortable and functional bite.

Oral rehabilitation can help you counteract the natural course of aging your mouth has taken; no more pangs of discomfort from eating hot or cold food and you can start your day without soreness in your jaw.


Oral rehabilitation requires advanced treatment procedures using state-of-the-art technology. At this surgery, our dentists spend time deciding on an appropriate course of action individualized for each patient's particular needs. Though the techniques might differ, the end result will be the same: a smile that feels and looks good.



Rehabilitation treatments available include: Dental Implants are titanium screws placed into the jawbone, topped with a prosthetic tooth used to replace a single lost tooth or many missing teeth.

Veneers are for severely discolored, chipped or crooked teeth, or to reduce uneven spaces. Thin pieces of shaped porcelain or composite material are fitted over the front surface of a tooth.

Dental Crowns are special sleeves that cover a damaged or weak tooth. They are matched to the shape and natural colour of other teeth.

Inlays and Onlays are laboratory-made and long lasting, these are being used more often to repair areas of tooth damage or decay.

Surgical crown lengthening: Periodontal procedures that lay the groundwork for restorative and cosmetic dentistry and/or to improve the health and aesthetics of your smile

Restore Dental Treatement Centre for Perio / Implant / Rehabilitation