Full Mouth Iimplants

Home / Procedures / Dental Implant / Full Mouth Iimplants

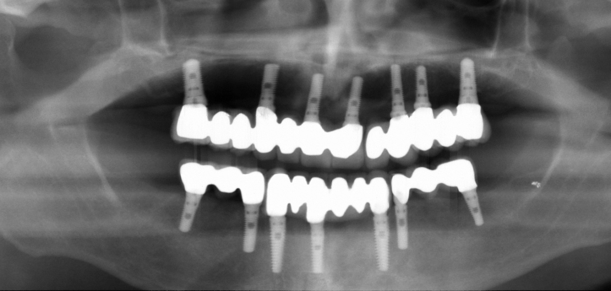
Full Mouth Iimplants

Traditionally, an implant placed into your bone supports a single crown and this is know as a "single tooth implant". However, if you have several missing teeth, you do not necessarily need an implant for every missing tooth: one implant can support several teeth via a bridge or denture. The number of implants required depends on the volume and density of bone tissue available at each implant site.

In the case of full-mouth reconstructions, where an arch of several teeth needs to be supported in either the upper or lower jaw, a minimum of 4 to maximum of 8 implants in each jaw would be required.

The exact number of implants needed would depend on the individual case. This type of treatment is not for everybody and any surgical procedure carries risks, a thorough assessment by Dr Anand Bhalodi is required to diagnose the best mode of treatment for you

With dental implants you can eat the foods you want and speak with complete confidence. With dentures, eating hard foods such as an apple can be a problem: either the dentures come loose or patients cannot withstand the hard biting forces as they cause pain in the gums.

Dentures can be supported by implants, which will greatly improve function, enabling patients to eat the foods they want with complete confidence and not having to worry about pain, or loose dentures falling out.

Restore Dental Treatement Centre for Perio / Implant / Rehabilitation