Gum Regeneration

Home / Procedures / Gum Regeneration

Gum Regeneration


Gingival Recession

Exposed tooth roots are the result of gum recession. Gum recession may lead to exposure of a darker, yellow root surface and may also result in an uneven gum line.

Perhaps you wish to enhance your smile by covering one or more of these roots that make your teeth appear too long.

Or maybe you're not bothered by the appearance of these areas, but your exposed roots are sensitive to hot or cold foods and drinks.

Your gums may have receded for a variety of reasons, including aggressive tooth brushing or periodontal disease.

Your periodontist can help you identify the factors contributing to the problem. Once these contributing factors are controlled, a delicate gum grafting procedure can be used to repair the area of recession and help to prevent further gum recession and subsequent bone loss.


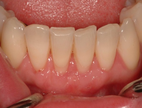
Recession on two lower incisors
Repair following a gum graft procedure

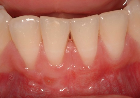
Gum grafts can be used to cover roots or develop gum tissue where it is missing due to gum recession. Gum grafting involves a procedure known as a connective tissue graft which is a delicate procedure where a small piece of gum tissue is taken from the palate or another donor site and transplanted to cover the exposed root.

This can be done for one or more teeth to even up your gum line and/or reduce root surface sensitivity. The benefits of gum grafting include: reducing further recession and bone loss, cover exposed roots to protect them from decay, reduce tooth sensitivity and improve the esthetics of your smile.

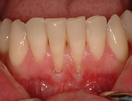
Lower incisor tooth with recession. A gum graft was used to repair this recession.


Restore Dental Treatement Centre for Perio / Implant / Rehabilitation