Regenerative Treatments

Home / Procedures / Regenerative Treatments

Regenerative Treatments

Periodontal disease (periodontitis) is an infection which can result in damage to the normal gum attachment and bony support around your teeth. Loss of gum attachment and bony support around teeth can result in teeth becoming loose and ultimately being lost.

In certain situations it may be possible to regenerate damaged bone and gum attachment around teeth by undertaking guided tissue regeneration. By regenerating gum attachment and bony support around the roots of teeth, the prognosis for the teeth may be improved.

Guided tissue regeneration is an intricate procedure which involves carefully teasing back a small area of gum next to the tooth, while the gum is numb with dental anesthetic.

This allows for careful cleaning of the tooth root surface to remove any calculus (tartar) and plaque bacteria. Once the root surface of the tooth is clean, the damaged area of bone is bone grafted to assist with the bony healing.

A small barrier membrane (resorbable) is then placed over the bone-grafted area and the gum tissue gently stitched over the top. This procedure creates an ideal healing environment around the tooth to optimize healing of the bony support and the gum attachment to the tooth root.

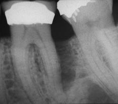
The results of this state-of-the-art reconstructive surgery are demon-strated in the diagrams and x-rays below.



  • - Fig. 1 Fig. 2 Fig. 3
  • - Fig 1. Initial defect (outlined) shows as a dark area of bone loss.
  • - Fig 2. X-ray 6 months following GTR treatment shows bony fill (healing).
  • - Fig 3. Digital Subtraction Radiography analysis of the x-rays highlights the regenerated bone in green.

Guided Bone Regeneration.

Loss of jaw bone following the loss of teeth or traumatic injury may result in a number of different problems. Most commonly, areas of bone loss may result in difficulties in dental implant treatment due to a lack of bone into which to place a dental implant.

Bony defects elsewhere may be unsightly and compromise other dental treatments such as a dental crown and bridgework. Guided bone regeneration (GBR) is a surgical procedure which involves carefully lifting a small area of the gum overlying the bony defect.

The area is then bone grafted with either bone taken from elsewhere in the mouth or with synthetic bone graft.

The bone graft particles placed into the bony defect act as scaffolding into which the bone cells can grow. The bone graft is then covered with a very thin barrier membrane prior to repositioning the gum tissue over the top and gently stitching it back into place.

This regenerative procedure helps to promote bone growth in areas previously devoid of bone. Developing bone in this way can help to increase the amount of bone for subsequent dental implant treatment.

Restore Dental Treatement Centre for Perio / Implant / Rehabilitation